Weight Loss
An Effective Exercise Routine for Beginners
Let’s start with this very important rule: NEVER OVERDO THE FIRST FEW SESSIONS. Many beginners to exercising fall for this trap, especially when they...
30-Day Squat Challenge That Can Help You Get the Butt of...
Numerous ladies long for enhancing their shape yet they can't force themselves to begin preparing. They need to dispose of additional pounds and manufacture...
MUST READ
7 Things That Happen When You Do planks Every Day
A board is a basic, yet compelling center exercise which encourages us fabricate dependability and quality all through our whole body. On the off...
Stomach Exercises to Work off Those Love Handles
A major complaint of people who want to look more fit is belly fat. Specifically, a large number of people have trouble with "love...
12 Symptoms of Kidney Disease That Should Never be Ignored
The vast majority don't know about the way that kidney illnesses can be quiet executioners. They may not demonstrate any indications for quite a...
7 Days – 7 Glasses: A Powerful Method That Burns Abdominal Fat
Individuals who are overweight typically take after a strict eating regimen or even do liposuction when there are no choices.
There is dependably an exit,...
15 People From Around the World Next to the Amount of Food They Eat...
Photographer Peter Menzel and writer Faith D’Aluisio traveled the around the world for three years. Their mission was to visit and document the eating habits of...
The Top Worst Food Ingredients to Avoid
Nourishment organizations utilize heaps of unhealthful and dodgy fixings to expand timeframe of realistic usability, include affected hues, and influence us to long for...
FITNESS
The Best Skin Care For Oily Skin
Oily skin can be really tricky to take care of because one wrong move can...
DIY: Non-Toxic Full Spectrum Coconut Oil Sunscreen
Economically accessible sunscreens are probably the most lethal items we could apply to our skin....
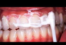
These 3 Drops Heal Cavities and Remove All Tartar From Teeth On The Same Day
Everyone wants to have the opportunity to leave the best first impression possible, but for...
The Anemia Will Disappear And You Will Have Skin Without Large Pores Using Quince
The quince is in the form of an apple or pear, is incorrectly humpy, with...
HOW TO MAKE COCONUT OIL SUNSCREEN TO PROTECT FROM BOTH UVA AND UVB RAYS
The possibility that sunscreen anticipates malignancy is a fantasy made by the sunscreen business. The...
This Is What Happens To Your Body When You Drink A...
Cow milk is believed to be one of the finest life-giving groceries. The half-truth is more dangerous than the conscious lie. Milk is a...
LATEST POSTS
5 Quick Ways To Ease Stress, Depression & Anxiety-Part(1)
1. Take regular breaks from the firing line.
Working hard without regular breaks is a great way to build up Ease stress and tension.
Make sure...
If You Have Hypertensive Crisis Take This Tomato Juice With Lemon...
It should be noted that cardiovascular disease, as well as excessive obesity, require a restriction in the use of cooking salt. But sometimes we...
5 Dangerous Additives Hidden In Packaged Bread
Many of us can not eat without bread as a staple in our daily diets. But are you aware of everything on the label...

























